Treatment
Treatment
Anti-cancer treatment
Therapies
Success cases
Amazing stories
Leave message
Experts
Experts
Expert Team
Academician Huang Wenlin
Professor Zhao Baisong
Professor Xu Kecheng
Professor Li Dinggang
Senior expert team
Influence
Influence
Domestic and international Influence
CCTV
People's Daily
Time Magazine
Washington Post
Journal of Human Gene Therapy
Media Interviews
International patients
About HeRun
About HeRun
About Herun International Center for Preventive Medicine
Medical center introduction
Six major services
Environment
Equipment
Guide
Guide
Hospitalization Guide
Hospitalization process
Schedules
Discharge process
Discharge follow-up
Service center
Access map
Contact us
Boao Lecheng Pilot Zone
Updates
TEL
Map
Search
Treatment
Therapies
Success cases
Amazing stories
Leave message
Experts
Academician Huang Wenlin
Professor Zhao Baisong
Professor Xu Kecheng
Professor Li Dinggang
Senior expert team
Research
Clinical research topic
P53 domestic clinical data
P53 clinical efficacy data
Herun Biolab
Symposium
Cancer popular science
Influence
CCTV
People's Daily
Time Magazine
Washington Post
Journal of Human Gene Therapy
Media Interviews
International patients
About HeRun
Medical center introduction
Six major services
Environment
Equipment
Boao lecheng pilot zone
Guide
Hospitalization process
Schedules
Discharge process
Discharge follow-up
Service center
Access map
Contact us
News Center
News
Industry news
Share Resource
Multi-media
Downloads
About Website
Compliance
Privacy policy
Website policy
Site map
Feedback
Treatment
Success cases
Treatment
Anti-cancer treatment
Therapies
Success cases
Amazing stories
Leave message
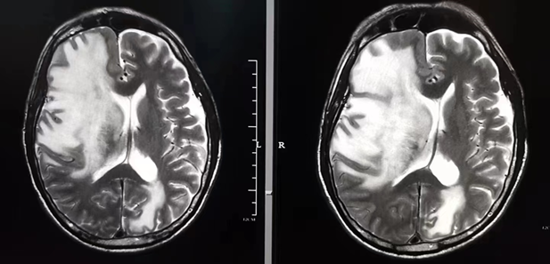
Brain glioma [ Therapy: P53 ]
From: HeRun
Date: 1 year+
Coma before admission
1 after treatment
2 after treatment
Next
Previous